Behandling av syreskader (erosjonsskader)
Hva er det?
Erosjonsskader på tennene kommer av at de har blitt utsatt for syre. Slike skader vil kunne befinne seg på ulike lag av tannen, avhengig av årsaken til opphavet.
Syreskader vil på lik linje med andre slitasjeskader kunne utarte seg i svak, moderat eller omfattende grad. Svake syreskader vil si at skaden foreløpig bare befinner seg i det ytterste laget av tannen, emlajen. Er det moderate syreskader vil det også omfatte dentinet, som er laget innenfor emaljen. Ved omfattende syreskader vil skaden ha beveget seg ytterligere inn i tannen og vil dermed kunne utgjøre en fare for tannerven.
Det er også vanlig å definere syreskader med andre karakteristikker. Pits refererer til små groper som danner seg ved tyggeknuten på de små og store jekslene. Tap av mikroanatomiske strukturer vil si at små strukturer som befinner seg på tannoverflaten går tapt som følge av syreskader. Videre vil tap av makroanatomiske strukturer beskrive syreskader som har ført til at større strukturer på tannoverflaten forsvinner.
Syreskader kan både komme av eksterne og interne syrekilder. Når vi snakker om eksterne syrekilder sikter vi til matvarer og lignende som vi konsumerer og som er av syrlig konsistens. Eksempler på dette er brus og andre leskedrikker som over kontinuerlig bruk vil kunne føre til syreskader på fremsiden av tennene.
På den andre siden har vi interne syrekilder. Dette kan komme av sure oppstøt og oppkast. Ved oppkast og sure oppstøt treffer dette gjerne innsiden av tennene i overkjeven, samt overflaten av jekslene i underkjeven.
Symptomer
Med mindre du er veldig obs på det, er det sjeldent å oppleve symptomer på syreskader i en tidlig fase. Mer fremtredende symptomer på syreskader kommer når dentinet begynner å bli påvirket. På dette stadiet vil tannen kunne gulne mer i fargen, og samtidig vil du kunne kjenne på ising i tennene. Dersom syrepåkjenningen oppstår på tannens tyggeflater vil det danne seg pits. Er syreskaden mer omfattende vil du fort kunne oppleve ising på flere steder. Omfattende syreskader vil også føre til at tennenes form og fasong begynner å endre seg. Det er naturlig at det oppstår mer skade på enkelte områder, og dersom det begynner å nærme seg tannerven, vil dette være merkbart.
Undersøkelse og diagnostisering
Kartlegging av skadene og diagnostisering av erosjonsskader skjer ved vanlig klinisk undersøkelse. Under undersøkelsen vil tannlegen kartlegge skadene og føre det inn i journalen. I noen tilfeller vil det være ønskelig å dokumentere skadene med bilder. Det kan også være nødvendig med avstøpning av tennene. Dette for å kunne se utviklingen av syreskadene som har oppstått.
Behandling
Behandling av syreskader der årsaken er kjent, vil i første omgang basere seg på å endre eller redusere påkjenningen tennene blir utsatt for. I andre tilfeller kan det være ønskelig å begynne skaderettet behandling samtidig som årsak kartlegges. Skaderettet behandling vil basere seg på å bygge opp tannen igjen for å beskytte den mot at syreskadene forverrer seg. En slik oppbygging utføres som regel ved bruk av tannfarget fylling, men det er også mulig å benytte fasetter og kroner for raskere og enklere oppbygging. I slike tilfeller har ofte syreskadene slitt vekk deler av tannens overflate, noe som fører til at det er mindre behov for justering av tannen for å sette en fasett eller krone.
Prognose
Prognosen til behandling av erosjonsskader vil være avhengig av omfang, plassering og årsaken til at skadene har oppstått. I noen tilfeller kan det være vanskelig å stoppe skaden fra å påvirke området rundt tannen som ikke har blitt behandlet.
På Skullerud Tannlegesenter har dyktige tannleger som har utført behandlinger for syreskader av ulik grad i mange år. Trenger du hjelp med syreskader på tennene?
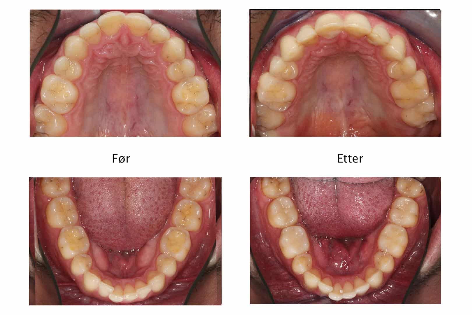
Før- og etterbilder
Behandlere som tilbyr tannlegeundersøkelse
Bestill din tannlegetime nå
Bestill tannlegetime ved hjelp av vårt bestillingsskjema eller online løsning.
Priser
Pris på behandling av syreskader vil variere ut ifra vanskelighetsgrad og forbehandlingsbehov.. For et pristilbud anbefales det å bestille en konsultasjonstime hos en av tannlegene som tilbyr behandling av syreskader.
Bedøvelse
fra 122kr
Orthopantogram røntgenbilde (OPG)
fra 630kr
Røntgenbilde
fra 117kr
Tannfarget fylling
fra 690kr
Krone
fra 5750kr
Stiftkonus
fra 1440kr
Fasett
fra 6150kr
For mer informasjon om våre priser se her.


