Behandling av tanngnissing (attrisjonsskader)
Sliteskader
Attrisjonsskader er slitasjeskader på tennene som følge av bruk og kontakt mellom tennene. Slitasjeskader av type attrisjonsskader vil ofte føre til at den øverste delen av tannen har blitt slitt bort. Attrisjonsskader kan forekomme i ulike grader. Svake attrisjonsskader har foreløpig ikke trengt gjennom emaljen. Ved moderate skader omfatter skadene også dentinet, og ved sterke attrisjonsskader betyr det at slitasjen begynner å nærme seg tannerven.
Hvorfor får vi attrisjonsskader?
Bare det at tennene våre hviler mot hverandre vil føre til en mild form for slitasje, men blant noen av de største årsakene til attrisjonsskader finner vi tanngnissing.
Tanngnissinng kan både forekomme i våken tilstand når vi er stresset, og når vi sover. Hvorfor noen gnisser tenner om natten er enda ikke helt sikkert, men forskning viser at det kan være flere sammenhenger, deriblant åndenød og fedme. Forskning viser at mennesker med mye fedme lettere havner i søvnlommer der de ikke puster, hvorav de på slutten av dette hendelsesforløpet ender opp med å skjære tenner.
Symptomer på attrisjonsskader
Milde attrisjonsskader
I tidlige stadier vil ikke attrisjonsskader gi stort av symptomer. Folk flest kan oppleve at tannkanten begynner å smuldre opp, eller at tennene fliser av i små biter. Har du en ujevn og hakkete tannkant, kan dette være et tegn på at du gnisser tenner.
Moderate attrisjonsskader
Ved moderate slitasjeskader begynner det å bli mer synlig i form av tennenes kantform. Dette kan vise seg som at tennene og tyggekanten har tydelige forskjeller i høyder og nivåer. Mange vil også oppleve at tennene passer som hånd i hanske dersom de beveger tennene i den retningen de gjør når de gnisser tennene.
Sterke attrisjonssakder
Er det snakk om sterke attrisjonsskader vil slitasjen føre til større mengde av tapt tannvev samtidig som det kan hende at skadene har begynt å bevege seg inn mot tannerven.
Undersøkelse av attrisjonsskader og graden gjøres gjennom klinisk undersøkelse, fotobilder, avstøpninger og eventuelt røntgenbilder. Avstøpninger er en viktig del av undersøkelsen for å kunne hente inn fullstendig informasjon om tilstanden på tennene.
Forebyggende tiltak
Som et forebyggende tiltak mot tanngnissing om natten, velger mange å benytte en bittskinne. Dette er en hesteskoformet plastskinne som plasseres over tennene med formål om å beskytte dem, samt skape en avstand mellom tennene. Dette tillater tyggemuskelen å slappe mer av. Et annet forebyggende tiltak dersom skaden skyldes feil plassering og belastning av tennene, er bruk av korttidsregulering. I noen tilfeller vil tanngnissing være et resultat av at tennene treffer hv
erandre på en bestemt måte. Ved å endre på plasseringen til tennene kan dette sikre et mer balansert og jevnere bitt. Behandling
Ved behandling av attrisjonsskader vil hensikten være å gjennooprette en naturlig form og fasong på tennene, samt prøve å plassere tennene i en posisjon som vil minimere videre slitasje og belastning. Til oppbygging kan vi ta i bruk både tannfarget fyllingsmateriale eller fasetter/krone. Ettersom det gjerne er store krefter involvert vil et bitt som fordeler belastningen være avgjørende for å forlenge levetiden til den oppbygde tannen.
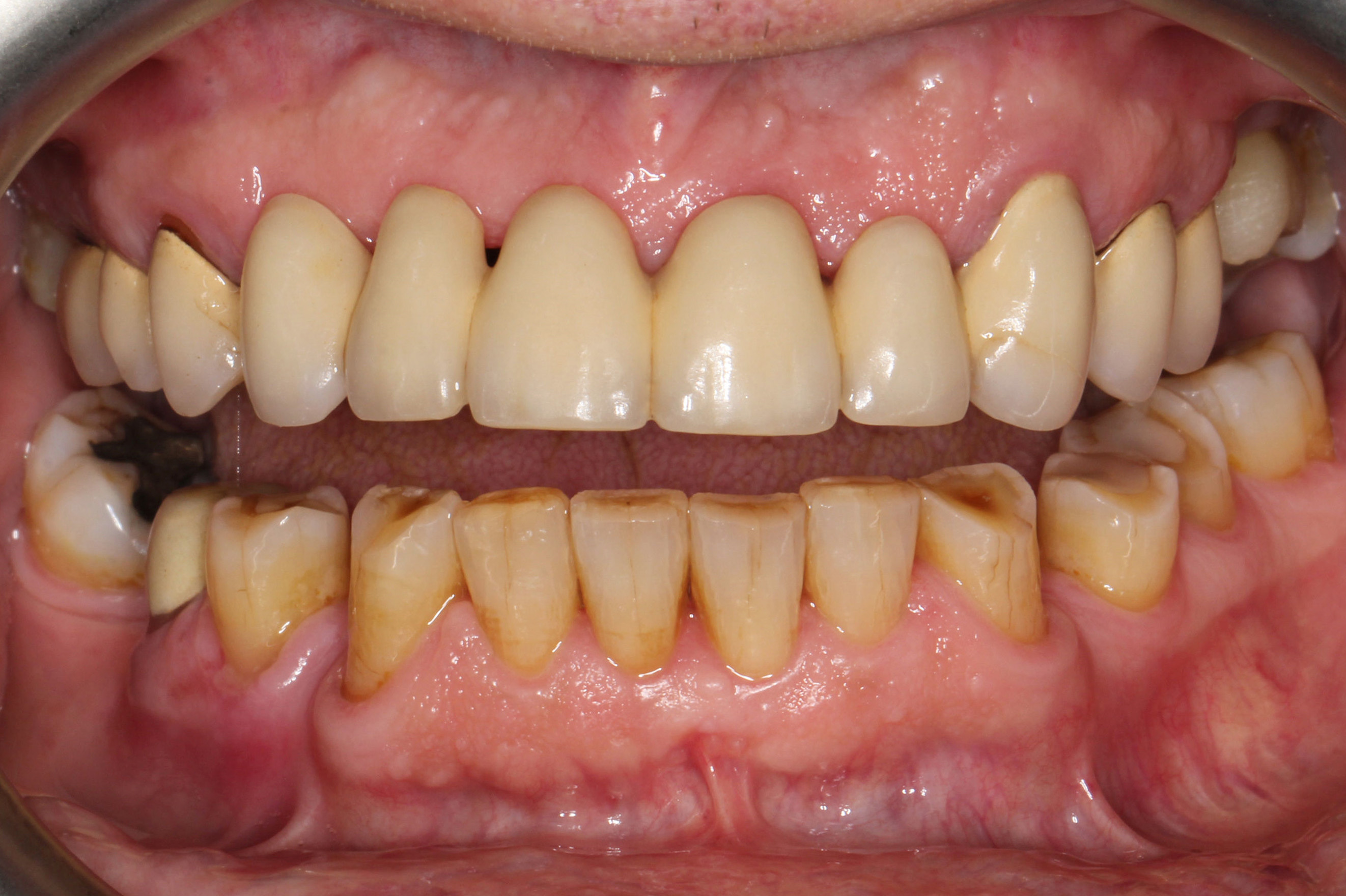
Før- og etterbilder
Behandlere som tilbyr tannlegeundersøkelse
Bestill din tannlegetime nå
Bestill tannlegetime ved hjelp av vårt bestillingsskjema eller online løsning.
Priser
Pris på behandling av attrisjonsskader vil variere ut ifra vanskelighetsgrad og forbehandlingsbehov.. For et pristilbud anbefales det å bestille en konsultasjonstime hos en av tannlegene som tilbyr behandling av attrisjonsskader.
Forundersøkelse
fra 363kr
Bedøvelse
fra 122kr
Orthopantogram røntgenbilde (OPG)
fra 630kr
Røntgenbilde
fra 117kr
Krone
fra 5750kr
Stiftkonus
fra 1440kr
Fasett
fra 6150kr
For mer informasjon om våre priser se her.


