Invisalign
Hvordan virker invisalign?
Invisalign baserer seg på bruk av flere gjennomsiktige skinner som skal benyttes i en bestemt rekkefølge Etter hvert som de er i bruk vil skinnene sakte, men sikkert flytte tennene mot ønsket posisjon. I forbindelse med Invisalign settes det også plastklosser på tennene for å gi skinnene et bedre feste og sikre ønsket bevegelse på tennene.
Fordeler
Invisalign er både enkelt og effektivt. Etter skinnene er ferdig støpt, får pasienten med seg et sett med skinner og instrukser for hvordan de skal brukes. Skinnene byttes som regel etter 1-2 uker, hvorav pasienten også kommer innom til kontrolltimer.
Lite synlig
Siden skinnene er laget i gjennomsiktig plast, betyr det også at de er svært lite synlige når du har dem på. Ettersom skinnene også byttes ut med jevnlige mellomrom, rekker det ikke å oppstå misfarging.
Skinnene er lette å ta av og på. Med det kan du enkelt fjerne dem ved spising, eller ved spesielle sosiale anledninger når du ikke ønsker å måtte ha dem på.
Ved å ha på skinner mesteparten av døgnet, beskytter du også tennene mot hulldannelse, ettersom du må rengjøre tennene mellom hver gang du tar skinnen ut og inn.
Ulemper og utfordringer
Til tross for at Invisalign kommer med en rekke fordeler, er det også viktig å være klar over at skinnene kan by på noen utfordringer. Først og fremst finnes det avanserte tilfeller der Invisalign ikke vil være tilstrekkelig. Det er begrensninger for hva plastskinnene kan utrette, spesielt om det er snakk om ujevne bitt eller skjevheter i hele tannstillingen. Videre kan klossene som festes på tennene oppleves som plagsomme eller forstyrrende når skinnene ikke er i bruk. Ved bruk av Invisalign skal tennene være rene. Dette betyr at tennene må skylles eller pusses etter inntak av mat. Med det vil mange oppleve at småspising utgår. På lik linje med tradisjonell regulering er det også vanlig å oppleve noe ømhet når skinnene tas i bruk, samt når skinnene byttes ut.
Oppfølging og etterbehandling
Etter at behandlingen med Invisalign er ferdig, er det nødvendig å forankre tennene i sin nye posisjon for å sikre at de ikke flytter på seg. Til dette benyttes gjerne to metoder eller en kombinasjon av de to. Et av alternativene er retainertråd. Dette er en streng i metall som festes bak tennene. Det andre alternativet, retainer-skinne, er en gjennomsiktig skinne som benyttes på natten.
Behandlingstid og behandlingsforløp
Behandlingstiden vil bli avgjort fra flere faktorer. Blant annet vil det være avhengig av vanskelighetsgrad, bittet og mengden skinnene brukes. Dette avgjøres på forhånd slik at det kan settes opp et passende behandlingsløp for den enkelte pasient.
Under første time blir det gjort diverse kartlegging og undersøkelser rundt forholdene i munnhulen. Dette inkluderer fotobilder, avtrykk og utelukking av eventuelle tannsykdommer. Når dette er gjort sendes det videre til tanntekniker som legger opp en behandlingsplan. Neste steg er deretter en ny konsultasjonstime hvor vi går over behandlingsplanen. Blir den godkjent blir det lagt inn en bestilling på Invisalign.
Behandlingen har god prognose. I tillegg til gode resultater 97% av gangene, holder også tennene posisjonen så lenge forholdsregler følges.
Lyst til å høre mer om behandling med Invisalign? Sette opp en time hos oss i dag!
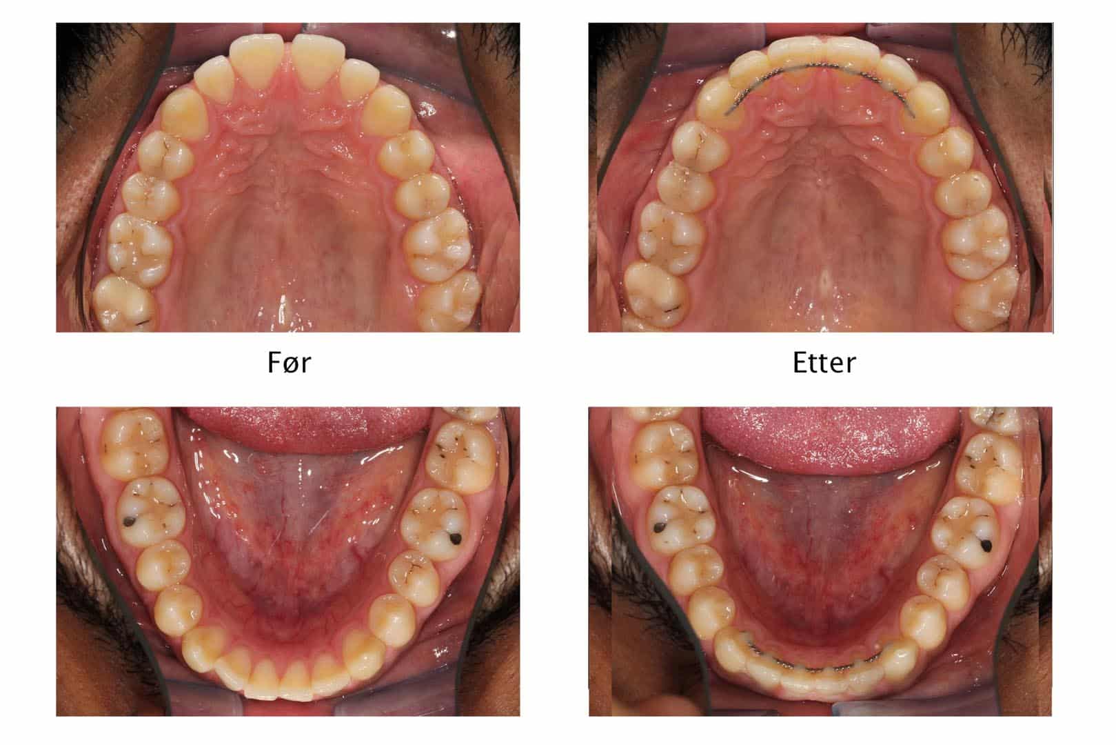
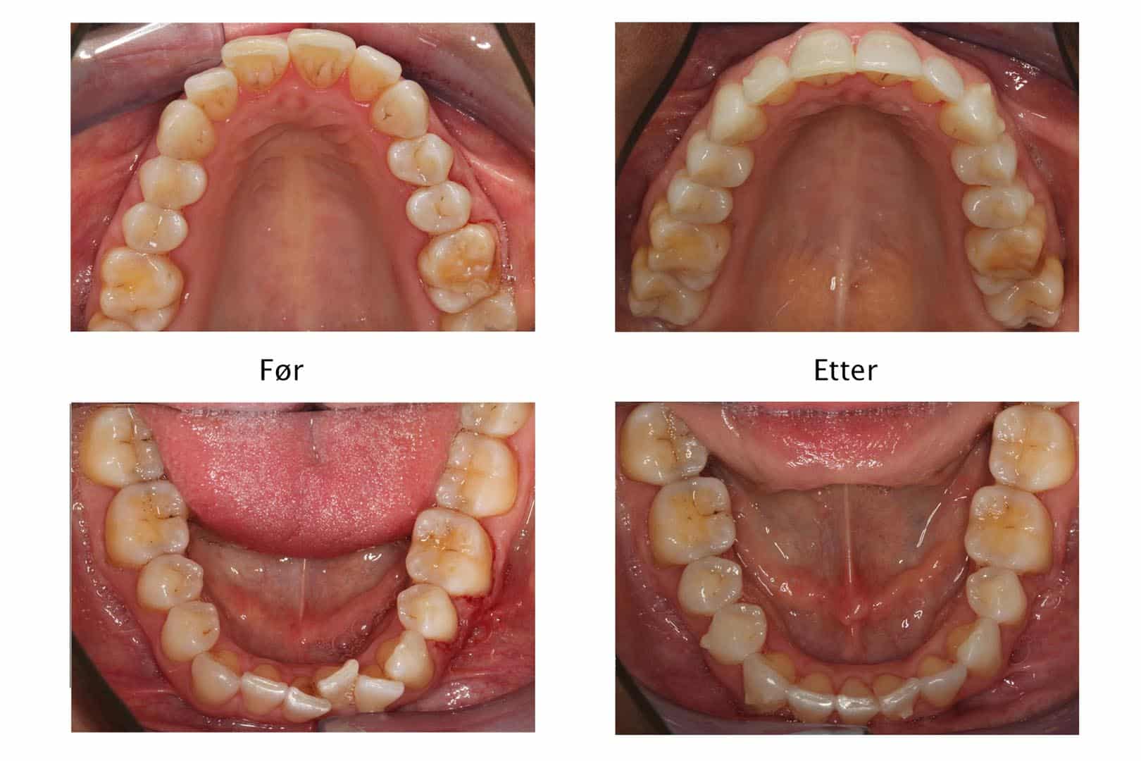
Før- og etterbilder
Behandlere som tilbyr tannlegeundersøkelse
Bestill din tannlegetime nå
Bestill tannlegetime ved hjelp av vårt bestillingsskjema eller online løsning.
Priser
Pris på Invsialign vil variere ut ifra bittet, tennenes stilling og vanskelighetsgrad. For et pristilbud anbefales det å bestille en konsultasjonstime hos en av tannlegene som tilbyr Invisalign.
Invisalign forundersøkelse
fra 1379kr
Invisalign, 1 kjeve
fra 18116kr
Invisalign, 2 kjever
fra 35325kr
Retainertråd, til forankring av tennene
fra 3130kr
Viveraskinner, til stabilisering av tennene
fra 4650kr
For mer informasjon om våre priser se her.


