Retainertråd og retainer-skinne
Sikre at tennene holder seg på plass
I perioden etter du har tatt av korttidsregulering eller tradisjonell regulering vil det ta tid før kjevebeinet stabiliserer seg rundt tennene. På grunn av dette er det større sjanse for at tennene flytter på seg. For å sikre at tennene holder seg på plass, benyttes retainertråd eller skinne til å låse dem fast.
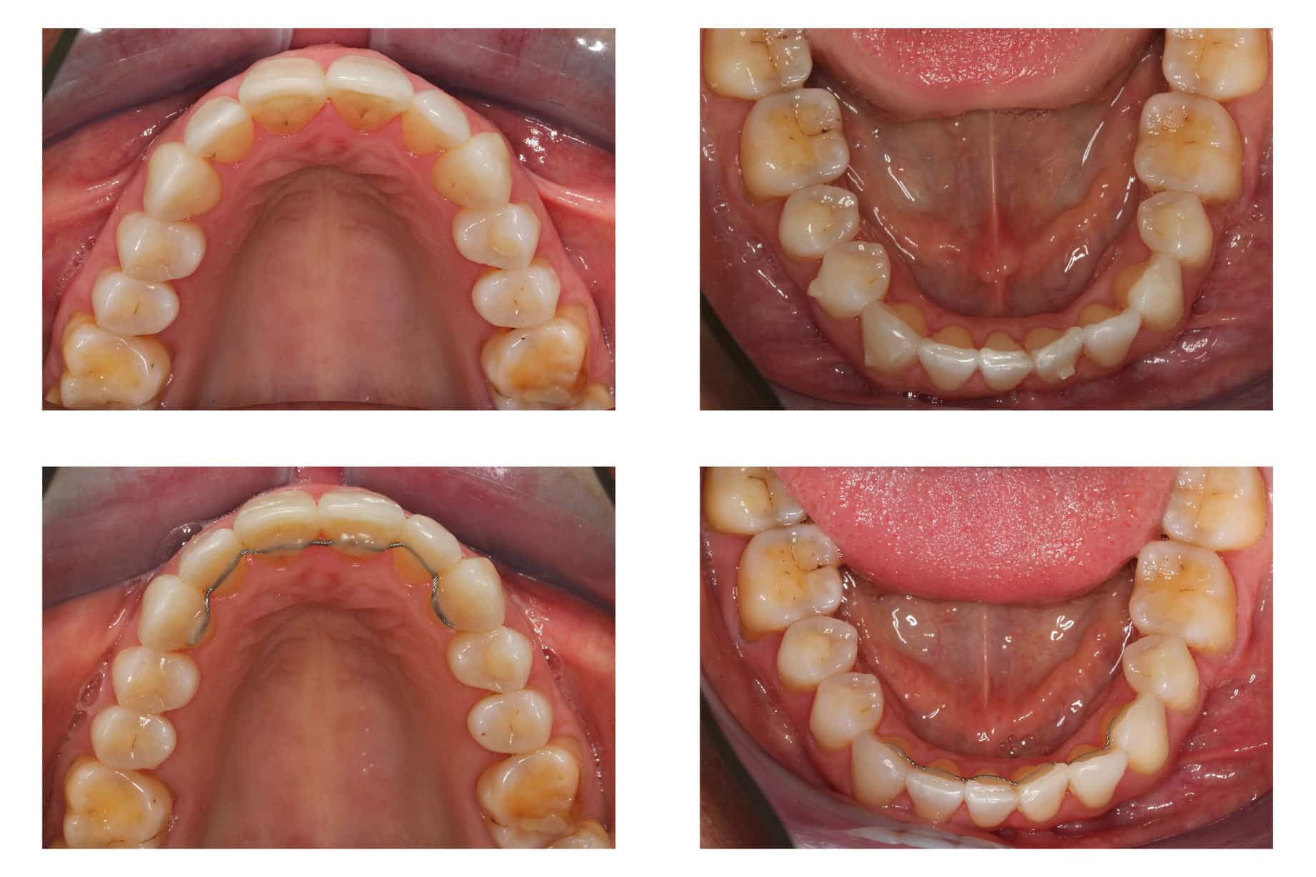
Retainertråd
Dette er en metallstreng som blir festet bak fortennene og hjørnetenner. Strengen sørger for å holde på tennene slik at de ikke flytter på seg. For å sikre et godt feste, kan ikke denne strengen være i elastisk materiale. Ettersom metallstrengen strekker seg over flere tenner, betyr det også at det blir vanskeligere å komme til. På grunn av dette er det viktig å sette i gang med gode rutiner for munnhygiene.
Retainerskinne
Retainerskinne er en gjennomsiktig plastskinne, formet etter tennenes avstøpning. Skinnen skal brukes om nettene, over en periode etter behandlingen med regulering er ferdig. Ved å bruke retainerskinne om natten, blir tennene ekstra godt forankret i den initiale fasen av stabiliseringen.
Oppfølging og etterbehandling
Retainertråd trenger ikke mye oppfølging eller etterbehandling, men til tider kan det hende at den frakturerer eller løsner ved en eller flere av tennene. Skulle den løsne, blir det limt på plass på nytt. Skulle den bli ødelagt, må det lages en ny retainertråd. Det er heller ikke behov for stort med oppfølging eller etterbehandling når det kommer til retainerskinne. De kan derimot bli slitt og misfarget. Av den grunn bør det forventes å måtte bytte det ut et par ganger i året.
Begge løsninger har en god prognose. En retainertråd vil stabilisere bedre enn en skinne, og er derfor det anbefalte alternativet. Skinnen fungerer bedre som en ekstra forankring, og er spesielt nyttig det første året etter at behandling med regulering er ferdig.
Før- og etterbilder
Behandlere som tilbyr tannlegeundersøkelse
Bestill din tannlegetime nå
Bestill tannlegetime ved hjelp av vårt bestillingsskjema eller online løsning.


