Inman Aligner
Hva er det?
Inman Aligner er bygget opp av to gjennomsiktige bøyler som er festet til en base. Denne basen festes til jekslene, mens bøylen fungerer ved å skyve tennene mot ønsket plassering. Kraften bøylen får fra festet til basen, bidrar til at resultatet kan oppnås ganske raskt. Hovedsakelig er Inman Aligner egnet til å flytte på fortennene. Det er mulig å gjøre mindre justeringer på hjørnetenner også, men her er det begrensninger på hvilke resultater som er mulig å oppnå.
Fordeler, ulemper og utfordringer med Inman Aligner
Den største fordelen med Inman Aligner er at behandlingen baserer seg på å kun bruke én skinne. I motsetning til Invisalign, er det ikke nødvendig å bytte ut skinnen hver andre uke. Dette betyr også at du slipper ubehaget med å skifte over fra en skinne til en annen.
Konstruksjonen til Inman Aligner sørger for en effektiv forflytning av tennene, ettersom bøylen er utsatt for en konstant kraft som trekker tennene i et jevnt og raskt tempo.
Ulemper
Skulle Inman Aligner skinnen bli ødelagt, betyr dette også at en ny skinne må lages, noe som kan være kostbart. For at bøylene som er inntil tennene skal kunne flytte på tennene i ønsket retning, vil det festes små, tannfargede knotter som bidrar til at forflytningen skjer i ønsket retning. For noen kan disse klossene kjennes noe irriterende og forstyrrende når skinnene ikke er i bruk.
Foruten at det kan være utfordrende å måtte skylle og pusse tennene mellom hvert måltid, er det få utfordringer tilknyttet behandlingen.
Oppfølging og etterbehandling
Etter behandlingen med Inman Aligner er gjennomført er det nødvendig å forankre tennene slik at de holder sin nye posisjon. Dette kan gjøres på to måter, med retainer-tråd og retainer-skinne. Ofte er det ønskelig med en kombinasjon av disse.
Behandlingstiden vil variere ut fra hvert tilfelle, men det vil allerede på forhånd av behandlingen bli anslått hvor lenge det vil være aktuelt å bruke Inman Aligner.
Dette er en behandling med god prognose. Sett opp mot tradisjonell regulering, vil det være vanskelig å oppnå et perfekt resultat, men statistikk viser at så mye som 97% av ønsket resultat oppnås.
Lyst til å høre mer om dine muligheter for korttidsregulering? Sett opp en time hos oss!
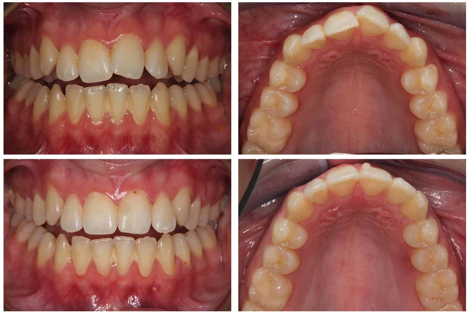
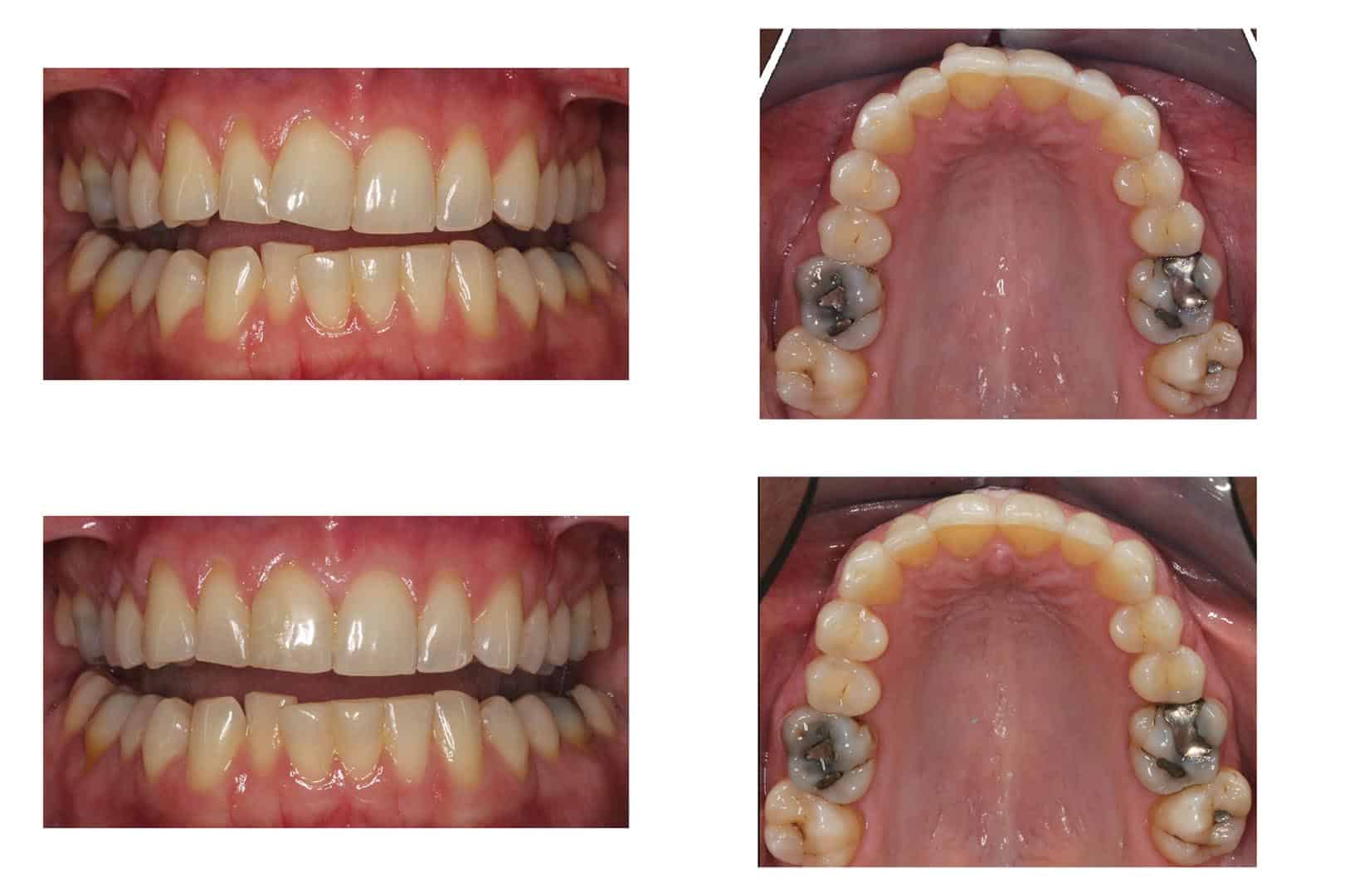
Før- og etterbilder
Bestill din tannlegetime nå
Bestill tannlegetime ved hjelp av vårt bestillingsskjema eller online løsning.
Priser
Pris på Inman Aligner vil variere ut ifra bittet, tennenes stilling og vanskelighetsgrad. For et pristilbud anbefales det å bestille en konsultasjonstime hos en av tannlegene som tilbyr Inman Aligner.
Invisalign forundersøkelse
fra 1379kr
Invisalign, 1 kjeve
fra 18116kr
Invisalign, 2 kjever
fra 35325kr
Retainertråd, til forankring av tennene
fra 3130kr
Viveraskinner, til stabilisering av tennene
fra 4650kr
For mer informasjon om våre priser se her.


