Gingivittbehandling
Årsaker og Behandling
Gingivitt er en tannkjøttsykdom som kan oppstå av flere forskjellige årsaker. Faktisk er det ikke uvanlig at de fleste har en eller annen grad av gingivitt. Sykdommen kan både utarte seg i kronisk og akutt form, og er heldigvis enkel å behandle uten å etterlate seg spor.
Hvorfor får vi gingivitt?
Etter hvert som vi konsumerer drikke- og matvarer utover dagen, begynner det også å samle seg opp bakterier ved tennene våre. Sammen med matrester, vil bakterier omsider danne et belegg kalt plakk. Her stortrives bakterier, og etter hvert som det får tilgang på mer næring, uten at det blir fjernet, vil det begynne å utvikle seg til et forkalket lag, også kjent som tannstein.
Når bakterier som ligger i tannstein og plakk finner sin vei inn til tannkjøttet, vil dette skape en infeksjon. Denne infeksjonen er det som kalles for Gingivitt.
Symptomer
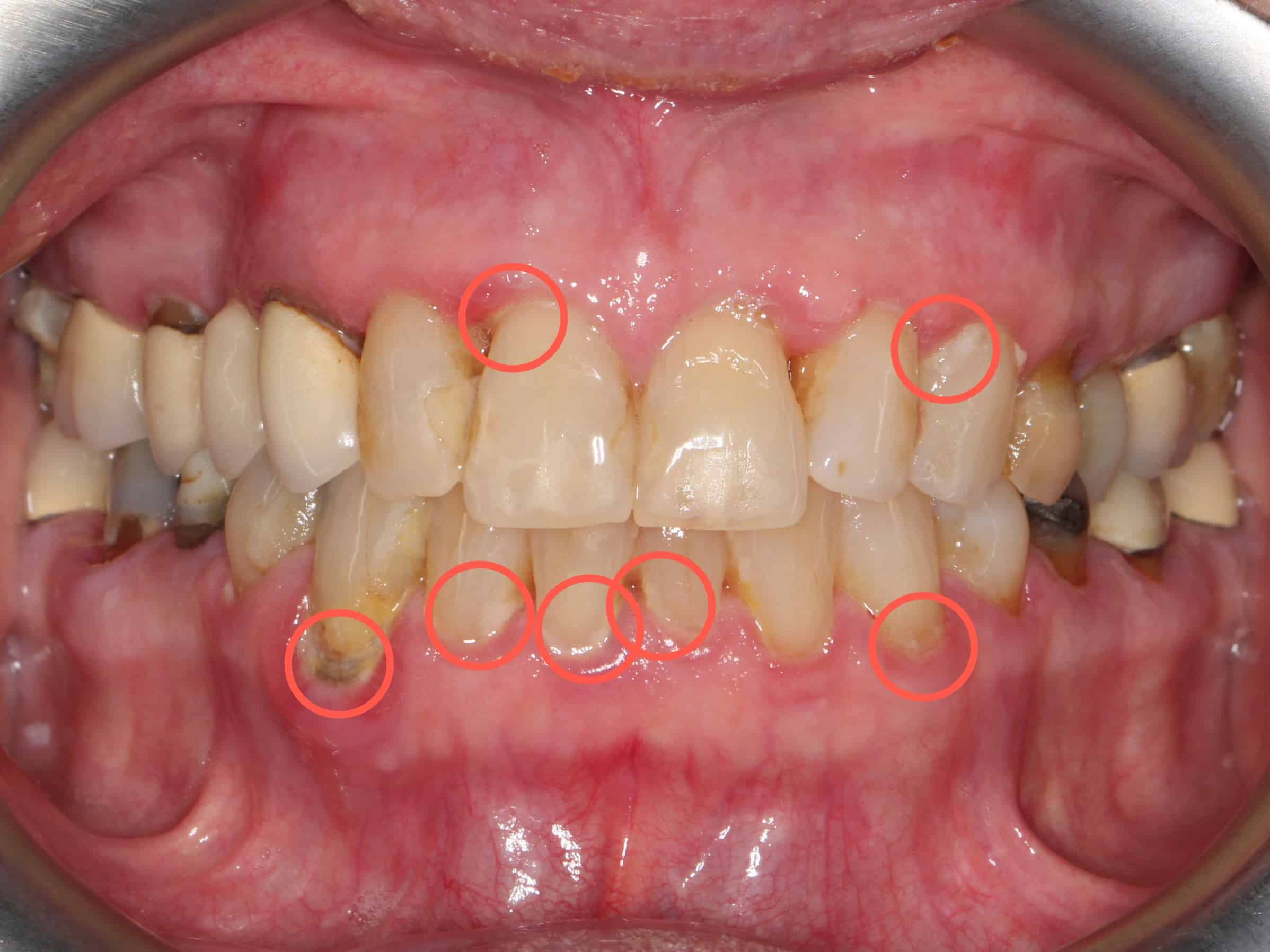
Typiske tegn på at du har fått gingivitt er blant annet et blødende og hovent tannkjøtt, samt dårlig ånde. Utviklingen vil være avhengig av forskjellige risikofaktorer, som påvirker forholdene i munnhulen. Dette kan være alt fra diabetes, skade på tennene, genetikk, svangerskap, medikamenter og mer.
Diagnosering av gingivitt kan gjøres på forskjellige måter. Med gode rutiner for undersøkelse gjør vi en grundig undersøkelse av tennene, feste rundt og tannkjøttet. Oppdager vi at tannkjøttet er betent og blødende, vil vi enkelt kunne stille diagnosen.
Behandling av Gingivitt
Har du fått påvist gingivitt, vil neste steg være å sette i gang forebyggende tiltak. Hensikten med dette er å hindre at sykdommen utvikler seg. Forebyggende tiltak vil blant annet innebære at du får god informasjon rundt sykdommen, veiledning og råd for god tannhygiene og instrukser for hvordan du skal utføre rens og puss på best mulig måte. Er du flink og følge rådene som blir gitt, skal det ikke være nødvendig med ytterligere tiltak enn at du kommer inn til en årlig undersøkelse hos tannlegen og opprettholder gode tannhelse-rutiner.
Behandling av Gingivitt er i seg selv lite smertefullt. For noen kan det oppleves ubehagelig å fjerne tannstein. Andre kan oppleve ising i tennene ved tannrens, dersom dette oppleves som smertefullt, kan bedøvelse benyttes.
Før- og etterbilder
Behandlere som tilbyr tannlegeundersøkelse
Bestill din tannlegetime nå
Bestill tannlegetime ved hjelp av vårt bestillingsskjema eller online løsning.
Priser
Pris på behandling av gingivitt vil variere ut ifra vanskelighetsgrad og forbehandlingsbehov.. For et pristilbud anbefales det å bestille en konsultasjonstime hos en av tannlegene som tilbyr behandling av gingivitt.
Periodonti forundersøkelse, 20 min
fra 390kr
Behandling av gingivitt, 30 min.
fra 940kr
Behandling av periodontitt, rens 30 min.
fra 435kr
Røntgenbilde
fra 117kr
Forebyggende behandling, 30 min
fra 585kr
Enkel etterkontroll, 15 min
fra 293kr
For mer informasjon om våre priser se her.


