Splinting
Tannkjøttsykdom kan føre til at tennene blir merkbart løse, ettersom festeapparatet i kjevebenet blir svekket. Ved å benytte ulike metoder for låsing av tennene, kan tennene stabiliseres for optimal behandling og enklere vedlikehold. Denne behandlingsmetoden kalles splinting.
Hva innebærer splinting?
Splinting, også kjent som tannforankring, er en grundig utformet prosedyre der visse tenner festes og stabiliseres for å minimere bevegelsen. Denne teknikken blir anvendt av flere grunner, både for behandlingsmessige og praktiske formål.
Fordelene med splinting
Splinting tilbyr en rekke behandlingsmessige og bruksmessige fordeler som markant forbedrer både munnhelsen og den daglige komforten. Gjennom å stabilisere tennene sikrer splinting at de ikke beveger seg under rengjøring, noe som bidrar til et stabilt miljø hvor festeapparatet rundt tennene kan helbrede og styrkes etter behandling. Dette fører ikke bare til at tennene forankres bedre, men også til at belastningen fra daglig bruk fordeler seg jevnere over flere tenner. Bruksmessig gir splinting betydelige fordeler; det blir enklere å tygge, snakke, og rengjøre tennene, noe som bidrar til en mer behagelig og funksjonell hverdag. I tillegg minsker det risikoen for dårlig ånde, ettersom stabile og godt forankrede tenner letter vedlikeholdet av god munnhygiene. Det er heller ingen behov for videre oppfølging i etterkant av behandlingen.
Ulike metoder for splinting
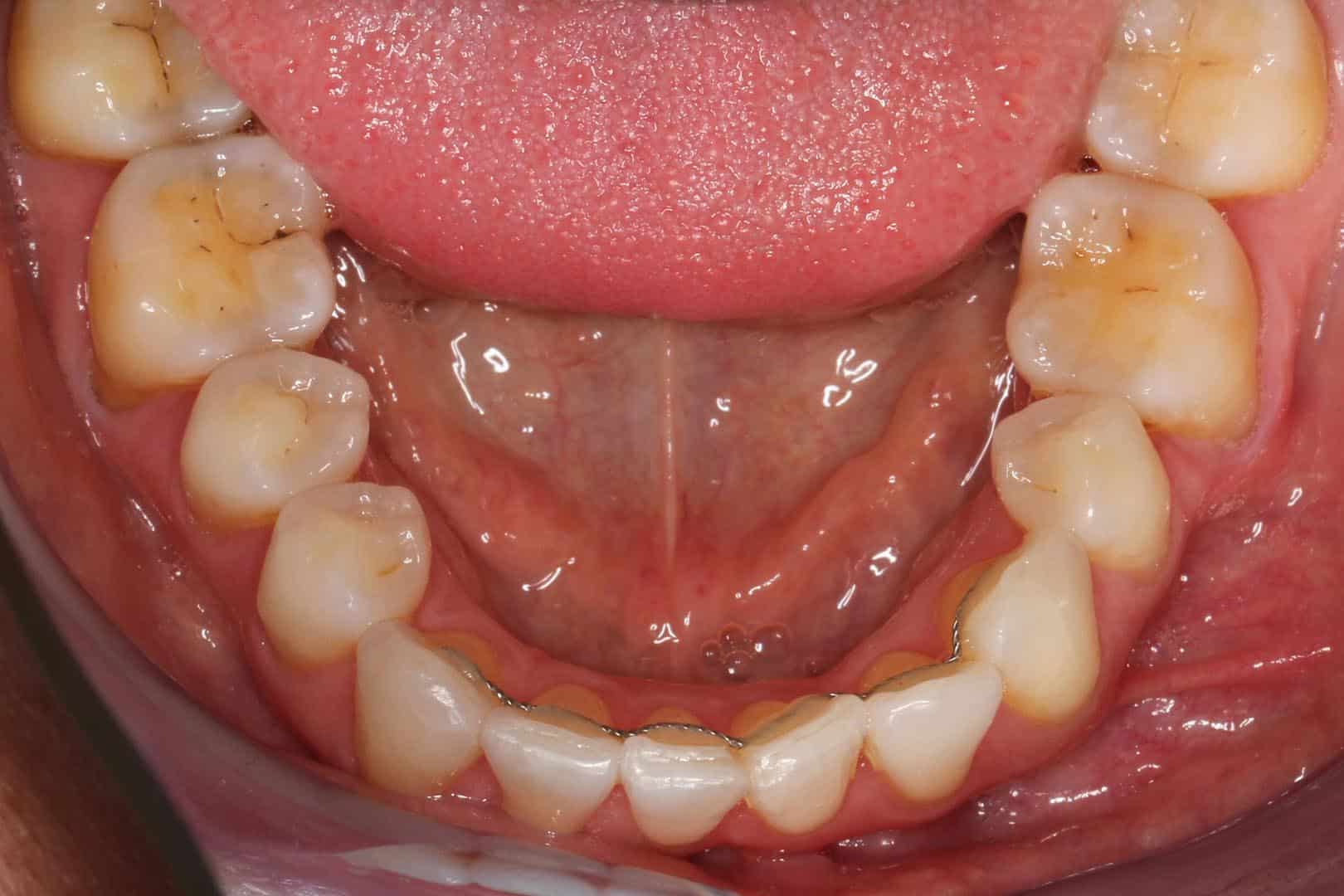
Metallbøyle (Retainertråd)
Dette er den samme metoden som benyttes til å låse tennenes posisjon etter reguleringsbehandling. Behandlingen krever to tannlegebesøk, og involverer å tilpasse en metalltråd langs tannbuen, før den festes bak tennene, fra hjørnetann til hjørnetann. Det første besøket fokuserer på å ta et avtrykk, slik at tannteknikeren skal kunne forme bøylen, og det andre besøket er for å feste bøylen til tennene. Metallbøylen er stabil, holdbar og diskret, men vil kunne være synlig fra innsiden. For de som finner avtrykkstagningen noe ubehagelig, kan digitalt avtrykk være et alternativ, selv om det generelt er noe mindre presist.
Fibertråd (Everstick)
Denne behandlingen inkluderer festing av et bånd med fibertråd til tennene i en enkelt seanse, noe som eliminerer behovet for en tanntekniker. Fibertråden er tannfarget og mindre synlig, selv om den ikke sitter like godt fast som en metallbøyle. Dette alternativet tilbyr estetiske fordeler og er en god løsning for de som ønsker en mindre synlig splint.
Superlim (Superbond)
Den mest diskrete formen for splinting bruker et sterkt lim for å binde tennene sammen. Dette gjøres i en enkel seanse og er spesielt egnet for tenner med lite bevegelse og uten mellomrom. Selv om denne metoden er den minst holdbare, tilbyr den det mest estetiske alternativet.
Kontakt oss i dag, så hjelper vi deg å finne den beste løsningen for deg og dine behov.
Før- og etterbilder
Bestill din tannlegetime nå
Bestill tannlegetime ved hjelp av vårt bestillingsskjema eller online løsning.
Priser
Pris på splinting vil variere ut ifra vanskelighetsgrad og forbehandlingsbehov. For et pristilbud anbefales det å bestille en konsultasjonstime hos en av tannlegene som tilbyr slik behandling.
Forundersøkelse
fra 450kr
For mer informasjon om våre priser se her.


